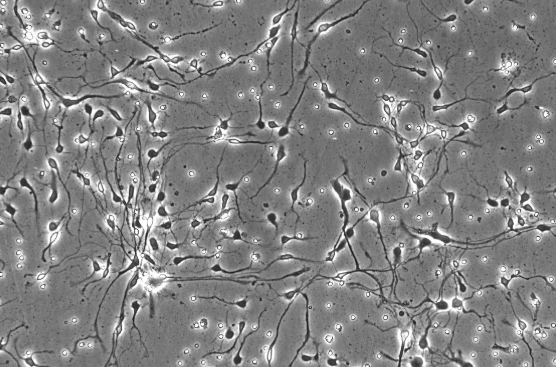
产品名称:HN;人神经细胞(原代细胞)
ScienCell:1520
5×10^5个细胞/瓶
来自ScienCell研究实验室的HN是从人脑中分离出来的。HN在P0冷冻保存并冷冻。每个小瓶含有>1×10^6个细胞,1ml体积。HN的特征在于具有对神经丝,MAP2和β-微管蛋白III特异性的抗体的免疫荧光。HN对HIV-1,HBV,HCV,支原体,细菌,酵母和真菌均为阴性。HN保证在ScienCell研究实验室提供的条件下进一步培养; 然而,由于细胞不在培养物中增殖,因此不建议将HN用于扩增或长期培养。
该产品仅供研究使用。它未被批准用于人类,动物或体外诊断程序。
经检测无支原体、细菌、酵母和真菌污染

中枢神经系统的组织由两类细胞组成,这些细胞可大致分类为神经元和神经胶质。神经元是大脑的解剖学,功能和营养单位[1]。尽管在大小和形状上存在很大差异,但所有神经元都具有共同的形态特征,这是高度复杂的通信网络的关键要素。神经元是动态极化细胞,其充当神经系统的主要信号传导单元。人脑含有大约1×10 ^ 11个神经元,每个神经元能够接触至少10,000个其他神经元[2]。
| 肝癌SK-Hep-1 |
| 人神经上皮瘤细胞 |
| 人神经母细胞瘤细胞 |
| 人卵巢癌细胞 |
| 人胸膜瘤细胞 |
公司优势:
1)质量:我司提供的的细胞为世界ATCC和Sciencell
2)价格:价格实惠,量大从优,产品价格随时会变动,实时报价还请来电获取。
4)服务:提供完整的售前、售后和售中服务。售后到底
在接收时将细胞从干冰直接并立即转移至液氮,并将细胞保持在液氮中直至实验需要细胞培养。
晅科生物致力于为国内科研用户提供*质的产品,完善的服务。帮助您实验顺利。视天气状况和运输距离远近,公司与客户协商
晅科生物为研究界提供各种高质量的正常人和动物细胞,细胞培养基和试剂,基因分析工具,细胞衍生的分子生物学产品,基于细胞的检测试剂盒和干细胞产品。
客户在细胞培养过程中,有任何技术问题可以联系售后服务
客户应具有一定细胞培养知识与经验,并具备基本实验设备,如细胞培养实验室、无菌操作台、CO2培养箱,倒置显微镜等;还应准备好相应的无菌培养基、血清、双抗、细胞培养瓶、培养板等。
如需订购HN;人神经细胞(原代细胞),请联系我们。
此外公司还提供:
| 人胶质瘤细胞 |
| 人成神经细胞瘤细胞SH-SY5Y |
| 大鼠乳腺癌细胞 |
| 人子宫颈鳞癌细胞 |
| 人乳腺腺癌细胞 |