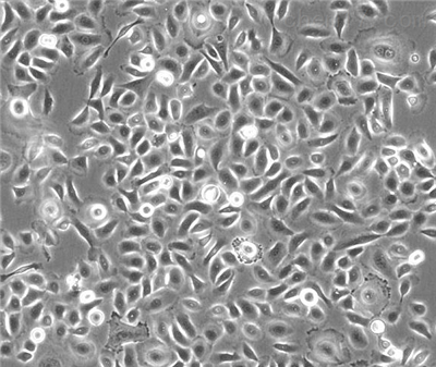
产品名称:HPSAEpiC;人小气道上皮细胞(原代细胞)
ScienCell:3230
5×10^5个细胞/瓶
来自ScienCell研究实验室的HPSAEpiC从人肺组织中分离。HPSAEpiC在第1代冷冻保存并冷冻递送。每个小瓶含有>5×10^5个细胞,1ml体积。HPSAEpiC的特征在于用对CK-18,-19和波形蛋白特异的抗体的免疫荧光。HPSAEpiC对HIV-1,HBV,HCV,支原体,细菌,酵母和真菌均为阴性。在ScienCell研究实验室提供的条件下,HPSAEpiC保证进一步扩大15次群体倍增。
该产品仅供研究使用。它未被批准用于人类,动物或体外诊断程序。
经检测无支原体、细菌、酵母和真菌污染
小气道位于肺泡和导气管之间的界面处。气道上皮细胞在气道中形成连续的衬里,并且作为对外部有害物质的保护性物理和功能屏障起*的作用。小气道上皮细胞(SAEpiC)通过趋化因子产生[1]和粘附分子表达促进宿主防御来调节免疫反应[2]。它们还产生有助于肺液平衡的液体。许多气道疾病,例如哮喘,细支气管炎,慢性阻塞性肺病和囊性纤维化,涉及气道表面上皮的损伤。人类SAEpiC的研究可能有助于确定预防气道疾病的新治疗方案。
| T-24(膀胱变移细胞癌) |
| A375(人类恶性黑色素瘤) |
| CHRF(人巨核细胞白血病) |
| K562(慢性髓原白血病) |
| RD(恶性胚胎横纹肌瘤) |
在接收时将细胞从干冰直接并立即转移至液氮,并将细胞保持在液氮中直至实验需要细胞培养。
晅科生物为研究界提供各种高质量的正常人和动物细胞,细胞培养基和试剂,基因分析工具,细胞衍生的分子生物学产品,基于细胞的检测试剂盒和干细胞产品。
客户在细胞培养过程中,有任何技术问题可以联系售后服务
客户应具有一定细胞培养知识与经验,并具备基本实验设备,如细胞培养实验室、无菌操作台、CO2培养箱,倒置显微镜等;还应准备好相应的无菌培养基、血清、双抗、细胞培养瓶、培养板等。
晅科生物致力于为国内科研用户提供*质的产品,完善的服务。帮助您实验顺利。视天气状况和运输距离远近,公司与客户协商
公司优势:
1)质量:我司提供的的细胞为世界ATCC和Sciencell
2)价格:价格实惠,量大从优,产品价格随时会变动,实时报价还请来电获取。
4)服务:提供完整的售前、售后和售中服务。售后到底
如需订购HPSAEpiC;人小气道上皮细胞(原代细胞),请联系我们。
此外公司还提供:
| Jecket(淋巴瘤细胞) |
| JAR(胚绒毛癌细胞) |
| PC-12未分化(大鼠肾上腺嗜铬细胞瘤) |
| WI-38(人二倍体胚肺细胞) |
| THP-1(人单核细胞) |