英文名称:Anti-ACE
中文名称:血管紧张素转换酶ACE抗体
抗体来源:兔
克隆类型:多克隆
交叉反应:人、大鼠、小鼠、狗、猪、牛、羊
产品应用:WB=1:500-2000 ELISA=1:500-1000 IHC-P=1:400-800 IHC-F=1:400-800 Flow-Cyt=3ug/Test ICC=1:100-500 IF=1:100-500(石蜡切片需做抗原修复)
尚未在其他应用程序中测试。
用户终应确定合适稀释浓度。
分子量:147kDa
细胞定位:细胞膜 分泌型蛋白
状态:冻干或液体
浓度:1mg/ml
来源于:KLH conjugated synthetic peptide derived from human ACE1:801-900/1306 <Extracellular>
亚型:IgG
纯化方法:affinity purified by Protein A
储存液:0.01M TBS(pH7.4) with 1% BSA, 0.03% Proclin300 and 50% Glycerol.
别 名:Angiotensin Converting Enzyme 1; ACE; ACE-T; Angiotensin-converting enzyme isoform 1precursor; Dipeptidyl carboxy peptidase 1; Kininase II; ACE-1;testis-specific isoform precursor. ACE 1; ACE T; ACE1; Angiotensin converting enzyme somatic isoform; Angiotensin converting enzyme testis specific isoform; Angiotensin I converting enzyme; Angiotensin I converting enzyme 1; Angiotensin I converting enzyme peptidyl dipeptidase A 1; Carboxycathepsin; CD 143; CD143; CD143 antigen; DCP 1; DCP; DCP1; Dipeptidyl carboxypeptidase 1; MVCD3; Peptidase P; Peptidyl dipeptidase A; Testicular ECA; ACE_HUMAN.
保存条件:在-20°C下保存一年。避免重复冻融循环。冻干抗体在室温下至少稳定一个月,并在-20°C下保持一年以上。当在无菌pH7.4 0.01M PBS或抗体稀释剂中重组时,抗体在2-4°C下至少稳定两周。
产品介绍
血管紧张素转换酶参与催化血管紧张素I转化为生理活性肽血管紧张素II。血管紧张素II是一种有效的血管加压素和醛固酮刺激肽,控制血压和液体电解质平衡。这种酶在肾素-血管紧张素系统中起关键作用。血管紧张素转换酶(ace)通过释放末端his-leu将血管紧张素I转化为血管紧张素II,这导致血管紧张素的血管收缩活性增加。也能灭活缓激肽,一种有效的血管扩张剂。ACE有两种形式,一种是170kD体细胞形式,另一种是90kD生发形式。体细胞形式由内皮细胞(特别是肺毛细血管和小动脉的内皮细胞)、上皮细胞(特别是近端肾小管和小肠的上皮细胞)、一些神经元细胞和一些巨噬细胞和T淋巴细胞表达。生发形式由精子表达。
功能:
通过释放末端HIS-LEU将血管紧张素I转化为血管紧张素II,这导致血管紧张素的血管收缩活性增加。也能灭活缓激肽,一种有效的血管扩张剂。还具有糖苷酶活性,通过切割GPI部分中的甘露糖连接从膜释放GPI锚定蛋白。
亚细胞位置:
血管紧张素转换酶,可溶性形式:分泌。
细胞膜;单通道I型膜蛋白。
组织特异性:
广泛表达,肺、肾、心脏、胃肠系统和前列腺中含量高。异型睾丸特异性在精母细胞和成人睾丸中表达。
翻译后修改:
由SER-1299上的CK2磷酸化;允许膜保持。
疾病:
ACE的遗传变异可能是缺血性卒中易感性(ischstr)[mim:601367]的原因,也称为脑血管意外或脑梗死。中风是一种急性神经事件,导致大脑神经组织死亡,导致运动、感觉和/或认知功能丧失。缺血性中风是由血管阻塞引起的,被认为是一种高度复杂的疾病,由一组具有多种遗传和环境危险因素的异质性疾病组成。
ACE缺陷是肾小管发育不全(RTD)的原因[MIM:267430]。RTD是一种常染色体隐性肾小管发育严重障碍,以持续性胎儿无尿和围产期死亡为特征,可能是由于早期发病的羊水过少(波特表型)所致的肺发育不良所致。
ACE基因变异与3型糖尿病(MVCD3)微血管并发症易感性相关[MIM:612624]。这些是由于糖尿病在许多组织和器官中发展的病理状况。包括糖尿病视网膜病变、导致终末期肾病的糖尿病肾病和糖尿病神经病变。糖尿病性视网膜病变仍然是糖尿病成人新发失明的主要原因。以血管通透性和组织缺血和血管生成增加为特征。
本产品仅用于研究用途,不用于人类、治疗或诊断应用。
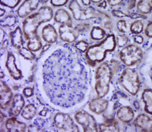
多聚甲醛固定,石蜡包埋(人肾组织);用柠檬酸钠缓冲液(PH6.0)煮沸15min;用3%过氧化氢阻断内源过氧化物酶20分钟;在37℃下阻断缓冲液(正常山羊血清)30min;抗体(ACE)多克隆抗体在1:400 OV下孵育。在4°C温度下进行Ernight,然后进行共轭二次20分钟,并进行DAB染色。
重要注意事项:
本产品仅用于研究用途,不用于人类、治疗或诊断应用。
公司优势:
1)质量:我司提供的的试剂为世界
2)价格:价格实惠,量大从优。
4)服务:提供完整的售前、售后和售中服务。售后到底
如需订购血管紧张素转换酶ACE抗体,请联系我们。
| Anti-CD5 CD5抗体 |
| Anti-CD54/ICAM-1(InteYTellular dhesion molecule 1/CD54 antigen;) 细胞间粘附分子-1抗体 |
| Anti-ICAM-2/CD102(inteYTellular adhesion molecules-2) 细胞间粘附分子-2抗体 |
| Anti-CD56/NCAM1(Neural Cell Adhesion Molecule 1) 神经细胞粘附分子1抗体(Elisa IP IHC 用) |
| Anti-CD56/NCAM1(Neural Cell Adhesion Molecule 1) 神经细胞粘附分子1抗体 |
| Anti-CD62L (ELAM-1/L-Selectin ) L选择素抗体 |
| anti-E-Selectin E选择素抗体 |
| Anti-CD68(Rabbit Anti-Mouse rat CD68 Palyclonal Antibody) CD68抗体(用于大鼠、小鼠) |