英文名称:Anti-alpha Actinin 4 (Loading Control)
中文名称:α-辅肌动蛋白4(内参)抗体(actinin 4)
抗体来源:兔
克隆类型:多克隆
交叉反应:人、大鼠、小鼠、鸡、猪、牛、兔
产品应用:WB=1:500-2000 ELISA=1:500-1000 IHC-P=1:400-800 IHC-F=1:400-800 IF=1:100-500(石蜡切片需做抗原修复)
尚未在其他应用程序中测试。
用户终应确定合适稀释浓度。
分子量:105kDa
细胞定位:细胞核 细胞浆
状态:冻干或液体
浓度:1mg/ml
来源于:KLH conjugated synthetic peptide derived from human Actinin alpha 4:811-911/911
亚型:IgG
纯化方法:affinity purified by Protein A
储存液:0.01M TBS(pH7.4) with 1% BSA, 0.03% Proclin300 and 50% Glycerol.
别 名:actinin 4; Actinin alpha 4; Actinin alpha-4; Alpha-actinin-4; actinin4; ACTN 4; ACTN4; ACTN4_HUMAN; DKFZp686K23158; F actin cross linking protein; F-actin cross-linking protein; Focal segmental glomerulosclerosis 1; FSGS 1; FSGS; FSGS1; Non muscle alpha actinin 4; Non-muscle alpha-actinin 4.
保存条件:在-20°C下保存一年。避免重复冻融循环。冻干抗体在室温下至少稳定一个月,并在-20°C下保持一年以上。当在无菌pH7.4 0.01M PBS或抗体稀释剂中重组时,抗体在2-4°C下至少稳定两周。
产品介绍
α-血影蛋白基因超家族actinins属于A组,代表各种细胞骨架蛋白,包括α和βspectrins和dystrophins。α-辅肌动蛋白和肌动蛋白结合蛋白在不同细胞类型的多个角色。在非肌细胞的细胞骨架蛋白,是发现微丝束沿相交和粘着型,它是参与结合肌动蛋白的膜。在比较光滑,骨骼,心脏,肌肉和isoforms是定域到Z盘和类似的密集体,在他们的帮助锚肌原纤维肌动蛋白丝。本encodes a非肌性肌动蛋白基因的α-异构体,这是集中在细胞质,参与转移性和思想的过程。在这个基因的突变已经与局灶节段达和肾小球硬化。RefSeq提供的2008年7月
功能:
肌动蛋白交联蛋白,这是一个思想形态锚定肌动蛋白intracellular各种结构。这是一个捆绑蛋白。可能参与通过其协会与复杂。车是必要的高效复杂的转铁蛋白受体的循环,但不为EGFR降解。
subcellular位置:
大鼠。细胞质。注=定域在细胞质颗粒的含mrnp编码mRNA的表达。共有肌动蛋白应力纤维。核转位诱导PI3激酶可以由细胞松弛素D的抑制剂wortmannin或是定域在核中的细胞线(A公司)乳腺癌细胞系MCF-7,口腔癌症的IMC层膀胱肿瘤2 7,和Ku)。
组织特异性:
广泛表达。
疾病:
缺损的原因局灶节段达ACTN4)是肾小球硬化型1(MIM 603278 fsgs1)[:]。a肾脏病理学定义的存在造成肾小球硬化节段达与蛋白尿和水肿,减少glomerular过滤率。肾功能不全(O到终末期肾脏疾病,高度病态的状态,无论是渗析治疗或肾移植。
相似性:
α-辅肌动蛋白是友好的家庭。
1含有肌动蛋白结合域。
包含2 CH(调宁蛋白脢)域。
2域包含EF手。
包含4收缩蛋白重复序列。
本产品仅用于研究用途,不用于人类、治疗或诊断应用。

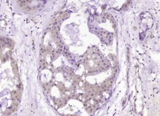
多聚甲醛固定,石蜡包埋(人乳腺癌);经柠檬酸钠缓冲液(pH6.0)煮沸15min后获得抗原;用3%过氧化氢阻断内源性过氧化物酶20分钟;阻断缓冲液(正常山羊血清)37℃30min;用α-肌动蛋白4负荷控制抗体多克隆抗体Unco孵育在4°C温度下,1:400整晚注射,然后根据SP试剂盒(兔子)说明和DAB染色进行操作。
重要注意事项:
本产品仅用于研究用途,不用于人类、治疗或诊断应用。
公司优势:
1)质量:我司提供的的试剂为世界
2)价格:价格实惠,量大从优。
4)服务:提供完整的售前、售后和售中服务。售后到底
如需订购α-辅肌动蛋白4(内参)抗体(actinin 4),请联系我们。
| Anti-CK16(Cytokeratin 16) 细胞角蛋白16抗体 |
| Anti-CK19(Cytokeratin 19) 细胞角蛋白19抗体 |
| Anti-CK2(casein kinase 2) 酪氨酸激酶2抗体 |
| Anti-CK4 (Cytokeratin 4) 细胞角蛋白4抗体 |
| Anti-CK5 (Cytokeratin 5) 细胞角蛋白5抗体 |
| Anti-CK8(Cytokeratin 8) 细胞角蛋白8抗体 |
| anti-CKLFSF2(human)(chemokine-like factor superfamily 2) 人类新细胞因子/趋化素样因子超家族成员2抗体 |
| claudin-5 紧密连接蛋白-5抗体 |
| CKIP-1(casein kinase 2 interaction protein 1) 酪蛋白激酶2相互作用蛋白1抗体 |