英文名称:Anti-Axin 2
中文名称:轴抑制蛋白2抗体(Axin2)
抗体来源:兔
克隆类型:多克隆
交叉反应:人、大鼠、小鼠、狗,马
产品应用:WB=1:500-2000 ELISA=1:500-1000 IHC-P=1:400-800 IHC-F=1:400-800 IF=1:100-500(石蜡切片需做抗原修复)
尚未在其他应用程序中测试。
用户终应确定合适稀释浓度。
分子量:93kDa
细胞定位:细胞浆
状态:冻干或液体
浓度:1mg/ml
来源于:KLH conjugated synthetic peptide derived from human Axin 2 corresponding:331-430/843
亚型:IgG
纯化方法:affinity purified by Protein A
储存液:0.01M TBS(pH7.4) with 1% BSA, 0.03% Proclin300 and 50% Glycerol.
别 名:Axil; Axin like protein; Axin-2; Axin-like protein; Axin2; Axis inhibition protein 2; AXIN2_HUMAN; Conductin.
保存条件:在-20°C下保存一年。避免重复冻融循环。冻干抗体在室温下至少稳定一个月,并在-20°C下保持一年以上。当在无菌pH7.4 0.01M PBS或抗体稀释剂中重组时,抗体在2-4°C下至少稳定两周。
产品介绍
Wnt信号通路的抑制剂。下调β-连环蛋白。可能通过GSK3b促进β-连环蛋白和APC的磷酸化。
参与疾病:axin2缺陷与结直肠癌(crc)有关。它们似乎与有缺陷的错配修复有特殊关联。
axin2缺陷是导致少齿型大肠癌综合征(odcrcs)的原因。受累个体表现为严重的牙齿发育不全和结直肠癌或各种类型的癌前病变。
功能:
Wnt信号通路的抑制剂。下调β-连环蛋白。可能通过GSK3b(通过相似性)促进β-连环蛋白和APC的磷酸化。
Subunit:
与糖原合成酶激酶-3β(GSK3b)和β-连环蛋白相互作用。axin和beta-catenin之间的相互作用通过beta-catenin中包含的犰狳重复发生(通过相似性)。与SMAD7和RNF111交互。与Ankrd6相互作用。
亚细胞位置:
细胞质。
组织特异性:
在脑和淋巴母细胞中表达。
翻译后修改:
可能是由GSK3b磷酸化和由PP2A去磷酸化(通过相似性)。
由tankyrase-tnks和tnks2磷酸二钠核糖基化。RNF146识别聚ADP核糖基化蛋白,随后泛素化并激活Wnt信号通路。
当聚ADP核糖基化时被RNF146泛素化,导致其降解并随后激活Wnt信号通路。通过USP34去泛素化,β-连环蛋白稳定步骤的去泛素化下游:去泛素化是Wnt信号转导对β-连环蛋白(CTNBB1)介导的转录进行积极调节的重要信号。
疾病:
axin2缺陷与结直肠癌(crc)有关[mim:114500]。它们似乎与有缺陷的错配修复有特殊关联。
axin2缺陷是少齿型大肠癌综合征(odcrcs)的病因[mim:608615]。受累个体表现为严重的牙齿发育不全和结直肠癌或各种类型的癌前病变。
相似性:
包含1个DIX域。
包含1个rgs域。
本产品仅用于研究用途,不用于人类、治疗或诊断应用。
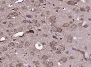
多聚甲醛固定,石蜡包埋(小鼠脑);用柠檬酸钠缓冲液(pH6.0)煮沸15min;用3%过氧化氢阻断内源性过氧化物酶20分钟;阻断缓冲液(正常山羊血清)37℃30min;抗体(AXIN 2)多克隆抗体在1:400过量下孵育。在4°C温度下进行高温处理,随后进行20分钟的结合二级抗体和DAB染色。
重要注意事项:
本产品仅用于研究用途,不用于人类、治疗或诊断应用。
公司优势:
1)质量:我司提供的的试剂为世界
2)价格:价格实惠,量大从优。
4)服务:提供完整的售前、售后和售中服务。售后到底
如需订购轴抑制蛋白2抗体(Axin2),请联系我们。
| anti-cx3cl1(chemokine (C-X3-C motif) ligand 1) 趋化因子(C-X3-C 基元)配体1抗体 |
| Anti-CXorf36 (uncharacterized protein Cxorf36 precursor) 脱羧酶蛋白体3抗体 |
| Anti-CXorf36 (uncharacterized protein Cxorf36 precursor) 脱羧酶蛋白体36抗体 |
| Anti-Cyclin A 周期素A抗体 |
| Anti-Cyclin B1 周期素B1抗体 |
| Anti-Cyclin C 周期素C抗体 |
| Anti-Cyclin D1 周期素D1抗体 |
| Anti-Cyclin D2 周期素D2抗体 |
| Anti-Cyclin E 周期素E/原癌基因抗体 |