您的位置: 网站首页 >> 产品中心 >> >> 抗体 > 磷酸化雄激素受体抗体p-AR (Ser578)
产品名称:

磷酸化雄激素受体抗体p-AR (Ser578)

产品型号: 产品时间: 2023-03-08
雄激素受体基因的长度超过90kb,具有3个主要功能域的蛋白质:N端域、DNA结合域和雄激素结合域。该蛋白作为类固醇激素激活转录因子发挥作用。结合激素配体后,受体与辅助蛋白分离,转移到细胞核,二聚体化,然后刺激反应基因的转录。磷酸化雄激素受体抗体p-AR (Ser578)包含2个多态性三核肽重复片段,编码其蛋白质N端激活域中的聚谷氨酰胺和聚甘氨酸束。聚谷氨酰胺束的扩张导致脊髓延髓肌肉萎缩(*病)

产品概述

英文名称:Anti-phospho-Androgen Receptor (Ser578)​

中文名称:磷酸化雄激素受体抗体p-AR (Ser578)

抗体来源:兔

克隆类型:多克隆

交叉反应:人、大鼠、小鼠​​​​​、鸡、狗、猪、牛、马​

产品应用:WB=1:500-2000 ELISA=1:500-1000 IHC-P=1:400-800 IHC-F=1:400-800 Flow-Cyt=3ug/Test IF=1:100-500(石蜡切片需做抗原修复)  ​

尚未在其他应用程序中测试。

用户终应确定合适稀释浓度。

分子量:43/101kDa

细胞定位:细胞核 细胞浆

状态:冻干或液体

浓度:1mg/ml

来源于:KLH conjugated Synthesised phosphopeptide derived from human Androgen Receptor around the phosphorylation site of Ser578:CG(p-S)C

亚型:IgG

纯化方法:affinity purified by Protein A

储存液:0.01M TBS(pH7.4) with 1% BSA, 0.03% Proclin300 and 50% Glycerol.

​别    名:AIS; AIS; ANDR_HUMAN; Androgen receptor (dihydrotestosterone receptor; testicular feminization; spinal and bulbar muscular atrophy; Kennedy disease); Androgen receptor; AR; DHTR; Dihydro Testosterone Receptor; Dihydrotestosterone receptor; HUMARA; HYSP1; HYSP1; KD; NR3C4; Nuclear receptor subfamily 3 group C member 4; SBMA; SMAX1; Spinal and bulbar muscular atrophy; TFM.  ​

保存条件:在-20°C下保存一年。避免重复冻融循环。冻干抗体在室温下至少稳定一个月,并在-20°C下保持一年以上。当在无菌pH7.4 0.01M PBS或抗体稀释剂中重组时,抗体在2-4°C下至少稳定两周。

产品介绍

雄激素受体基因的长度超过90kb,编码一种具有3个主要功能域的蛋白质:N端域、DNA结合域和雄激素结合域。该蛋白作为类固醇激素激活转录因子发挥作用。结合激素配体后,受体与辅助蛋白分离,转移到细胞核,二聚体化,然后刺激雄激素反应基因的转录。该基因包含2个多态性三核肽重复片段,编码其蛋白质N端激活域中的聚谷氨酰胺和聚甘氨酸束。聚谷氨酰胺束的扩张导致脊髓延髓肌肉萎缩(*病)。该基因的突变也与*雄激素不敏感(CAIS)有关。描述了两种编码不同亚型的选择性剪接变体。[参考文献编号:2008年7月]

 

功能:

类固醇激素受体是配体激活的转录因子,调节真核基因表达,影响靶组织细胞增殖和分化。转录因子活性受结合辅活化子和辅加压蛋白的调节。转录激活被NR0B2下调。通过hipk3和zipk/dapk3激活,但不磷酸化。[酶调节]AIM-100(4-氨基-5,6-二芳基-furo[2,3-d]嘧啶)抑制在Tyr-267处TNK2介导的磷酸化。抑制Tyr-267磷酸化形式与雄激素反应增强剂(ARES)的结合及其转录活性。

 

Subunit:

以同二聚体形式结合DNA。包含ar、efcab6/djbp和park7的三元络合物的一部分。在雄激素存在下与hipk3和nr0b2相互作用。在二氢睾酮存在下,配体结合域与kat7/hbo1相互作用。与efcab6/djbp、pelp1、pqbp1、ranbp9、rbak、spdef、sra1、tgfb1i1、znf318和rreb1相互作用。与zmiz1/zimp10和zmiz2/zmip7相互作用,两者都增强了其交易激活活性。与SLC30A9和RAD54L2/ARIP4相互作用。通过配体结合域与来自ncoa1、ncoa2、ncoa3、ncoa4和magea11的LXXLL和FXXLF基序相互作用。AR N末端的多GLN区结合RAN导致AR介导的激活增强。随着聚乙醛长度的增加,RAN结合降低。与HIP1交互(通过螺旋线圈域)。与trim68相互作用(通过配体结合域)。与TNK2相互作用。与USP26相互作用。与RNF6交互。与RNF14相互作用(可能通过多泛素化被RNF6调节);调节AR转录活性。与prmt2和trim24交互。与GNB2L1/RACK1交互。与ranbp10相互作用;这种相互作用增强了二氢睾酮诱导的AR转录活性。以激素独立的方式与prpf6相互作用;这种相互作用增强了二氢睾酮诱导的AR转录活性。与STK4/MST1交互。与Zipk/Dapk3交互。与lpxn交互。与MAK交互。包含ar、mak和ncoa3的复合体的一部分。

 

亚细胞位置:

细胞核。细胞质。注=主要为细胞质,无门控形式,但在配体结合时转移到细胞核。也可以在存在Gnb2l1的情况下以非门控形式转移到细胞核。

 

组织特异性:

亚型2主要在心脏和骨骼肌中表达。

 

翻译后修改:

在Lys-386(主要)和Lys-520上进行SUM化。泛素化的由USP26去除泛素。通过RNF6的Lys-6'和'Lys-27'连接的多泛素化调节AR转录活性和特异性。

前列腺癌细胞对几种生长因子(包括表皮生长因子)的磷酸化反应。磷酸化由c-SRC激酶(CSK)诱导。Tyr-534是主要的磷酸化位点之一,磷酸化和SRC激酶活性的增加与前列腺癌的进展有关。TNK2的磷酸化增强了DNA结合和转录活性,可能导致前列腺癌的雄激素依赖性进展。CDK9在SER-81处的磷酸化调节AR启动子选择性和细胞生长。PAK6的磷酸化导致AR介导的转录抑制。

棕榈酰化ZDHC7和ZDHC21。棕榈酰化是质膜靶向和快速细胞内信号通过erk和akt激酶和cAMP生成所必需的。

 

疾病:

AR缺陷是导致雄激素不敏感综合征(ais)的原因[mim:300068];以前被称为睾丸女性化综合征(tfm)。由于末端器官对雄激素的抵抗,ais是一种X连锁隐性假两性畸形。受累男性有女性外生殖器、女性乳房发育、阴道盲、子宫缺失和女性附件,以及腹部或腹股沟睾丸,尽管其核型正常,但其核型为46。

AR缺陷是导致脊髓和延髓肌萎缩的X连锁1型(smax1)【mim:313200】;也称为*病。Smax1是脊髓肌萎缩的X连锁隐性形式。脊髓肌萎缩是指一组以脊髓前角细胞变性为特征的神经肌肉疾病,导致对称性肌无力和萎缩。Smax1只出现在男性身上。发病年龄通常在生命的第三至第五个十年,但有报道称发病较早。以缓慢进行的肢体和延髓肌肉无力为特征,伴有筋膜痉挛、肌肉萎缩和妇科乳腺炎。这种疾病在临床上与典型的常染色体脊髓肌萎缩相似。注=由三核肽CAG重复膨胀引起。在Smax1患者中,GLN的数量在38到62之间。扩张时间越长,发病越早,临床表现越严重。

注=AR缺陷可能在转移性前列腺癌中起作用。突变的受体刺激前列腺生长和转移的发展,尽管雄激素消融术。当肿瘤细胞表达野生型受体时,这种治疗可能通过诱导肿瘤细胞凋亡来减少原发性和转移性损伤。

AR缺陷是导致部分雄激素不敏感综合征(PAIS)的原因[MIM:312300];也被称为Reifenstein综合征。PAIS具有尿道下裂、性腺机能减退、女性乳腺炎、生殖器歧义、正常的xy核型和与X连锁隐性遗传*的谱系模式。部分患者出现无精子症或严重少精子症,无其他临床表现。

 

相似性:

属于核激素受体家族。NR3亚家族

包含1个核受体DNA结合域。

 

重要注意事项:

类固醇受体(Steroid Receptors)
AR是一个由920个氨基酸组成的蛋白质,位于雄激素靶组织细胞中或细胞表面上的特异分子部位或结构。
AR在前列腺癌中起着重要的作用,研究表明AR的表达与组织分型形成一定的相关性 ,AR在高分化的肿瘤中表达较多,而在低分化的肿瘤中表达较少。用于前列腺癌的检测,指导临床治疗,目前可用于乳腺癌、食道癌等各项肿瘤的研究。

本产品仅用于研究用途,不用于人类、治疗或诊断应用。

​​​

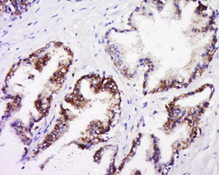
组织/细胞:前列腺组织;4%多聚甲醛固定石蜡包埋;

抗原提取:柠檬酸缓冲液(0.01M,pH 6),15min煮沸,用3%过氧化氢阻断内源性过氧化物酶30min;37℃下阻断缓冲液(正常山羊血清)20 min;

孵育:抗AIS多克隆抗体,未结合1:500,在4°C下过夜,然后接合二级抗体和DAB染色。

公司优势:
1)质量:我司提供的的试剂为世界。
2)价格:价格实惠,量大从优。
4)服务:提供完整的售前、售后和售中服务。售后到底。

如需订购磷酸化雄激素受体抗体p-AR (Ser578),请联系我们。

anti-HtrA2/Omi(mitochondrial intermembrane space)  丝氨酸蛋白酶/线粒体丝氨酸蛋白酶抗体
Anti-hTRT  Telomerase catalytic subunit(TE)  端粒酶抗体(催化亚单位)
Anti-Human serumAnti-Human serum  兔抗人血清抗体抗血清
Anti-Hydroxyethyk staYTh/HES Anti-hydroxyethyk staYTh/HES  羟乙基淀粉抗体
Anti-Hypothetical protein (LOC55652)  hypothetical protein抗体
anti-IAA(Indole-3-Acetic Acid)  吲哚-3-乙酸抗体/植物生长素抗体
anti-IAA(Indole-3-Acetic Acid)  吲哚-3-乙酸抗体/植物生长素单克隆抗体
anti-IAP-5(inhibitors of apoptosis protein-5)  凋亡抑制因子5抗体

留言框

  • 产品:

  • 您的单位:

  • 您的姓名:

  • 联系电话:

  • 常用邮箱:

  • 省份:

  • 详细地址:

  • 补充说明:

  • 验证码:

    请输入计算结果(填写阿拉伯数字),如:三加四=7
分享到:
版权所有©2019 上海晅科生物科技有限公司 备案号:京ICP证000000号
  • 扫一扫,关注我们