您的位置: 网站首页 >> 产品中心 >> >> 抗体 > 微管蛋白β tubulin/Tubulin β抗体
产品名称:

微管蛋白β tubulin/Tubulin β抗体

产品型号: 产品时间: 2023-03-08
微管蛋白β tubulin/Tubulin β抗体
tubulin是一种大量存在于哺乳动物脑组织中的微管亚基蛋白,在结构上是由两个极为相近的α和β亚基组成的二聚体、多聚体形成微管细丝,是微管的主要成分。
微管蛋白是球形分子, 有两种类型:α微管蛋白(α-tubulin)货号:bs-0195R和β微管蛋白(β-tubulin), 这两种微管蛋白具有相似的三维结构。

产品概述

英文名称:Anti-Beta tubulin​

中文名称:微管蛋白β tubulin/Tubulin β抗体

抗体来源:兔子

克隆类型:多克隆

交叉反应:人、小鼠、大鼠、兔子​

产品应用:WB=1:500-2000 ELISA=1:500-1000 IHC-P=1:100-500 IHC-F=1:100-500 IF=1:100-500(石蜡切片需做抗原修复)

分  子 量:55kDa

​细胞定位:细胞浆

状态:冻干或液体

浓度:1mg/ml

来源于:KLH conjugated synthetic peptide derived from human tubulin Beta:61-160/444

亚型:IgG

纯化方法:affinity purified by Protein A

储存液:0.01M TBS(pH7.4) with 1% BSA, 0.03% Proclin300 and 50% Glycerol.

别    名:Beta 4 tubulin; Tubulin-beta; Tubulin beta; Beta 5 tubulin; BetaTubulin; Beta-Tubulin; dJ40E16.7; TUBB; TUBB2; TUBB2A; TUBB5; tubulin beta 2A; Tubulin beta chain; Tubulin beta-5 chain; TUBB4A; TUBB4; Tubulin 5 beta; Tubulin beta-4 chain; TBB4A_HUMAN; Tubulin beta-4A chain.

保存条件:在-20°C下保存一年。避免反复冻融。冻干抗体在室温下至少稳定一个月,并在-20°C下保持一年以上。当在无菌pH7.4 0.01M PBS或抗体稀释剂中重组时,抗体在2-4°C下至少稳定两周。

 

​产品介绍:

微管是有丝分裂器、纤毛、鞭毛和细胞骨架的组成部分。主要由2种可溶蛋白组成,α-和β-微管蛋白,每种约55000 kDa。抗β-微管蛋白抗体可作为蛋白质印迹的负载控制。然而,应该注意的是,在某些细胞中,β-微管蛋白的水平可能不稳定。例如,脂肪组织中微管蛋白的表达非常低(Spiegelman and Farmer,Cell,1982,29(1):53-60),因此β微管蛋白不应用作这些组织的负荷控制。

 

功能:

微管蛋白是微管的主要成分。结合两摩尔的GTP,一个在β链上的可交换位点,一个在α链上的不可交换位点。

 

子单元:

α链和β链的二聚体。可能与RNabp10相互作用(通过相似性)。与PIFO交互。与MX1交互(通过相似性)。

 

亚细胞位置:

细胞质,细胞骨架。

 

组织特异性:

广泛表达于脾脏、胸腺和未成熟大脑中。

 

翻译后修改:

C端的一些谷氨酸残基是聚谷氨酸化的。这种修饰只发生在谷氨酸残基上,并在γ羧基上形成聚谷氨酸链。由于在人体内缺乏功能性TTLL10,因此也进行了单糖基化而不是多糖基化。单糖基化主要局限于微管蛋白与轴突(纤毛和鞭毛)结合,而谷氨酸基化则普遍存在于神经元细胞、中心粒、轴突和有丝分裂纺锤体中。两种修饰都可以在相邻残基上的同一蛋白质上共存,并且降低糖基化水平会增加多谷氨酸化,并相互作用。这种修饰的精确功能尚不清楚,但它们调节轴突微管的装配和动力学(可能)。

 

相似性:

属于微管蛋白家族。

 

重要提示:

本产品仅用于研究用途,不用于人类、治疗或诊断应用

​结构蛋白(Structural Proteins)
tubulin是一种大量存在于哺乳动物脑组织中的微管亚基蛋白,在结构上是由两个极为相近的α和β亚基组成的二聚体、多聚体形成微管细丝,是微管的主要成分。
微管蛋白是球形分子, 有两种类型:α微管蛋白(α-tubulin)货号:bs-0195R和β微管蛋白(β-tubulin), 这两种微管蛋白具有相似的三维结构, 能够紧密地结合成二聚体, 作为微管组装的亚基。 α亚基由450个氨基酸组成, β亚基是由455个氨基酸组成, 这两种亚基有35~40%的氨基酸序列同源, 表明编码它们的基因可能是由同一原始祖先演变而来.

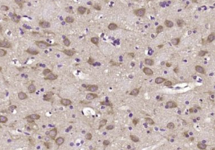
​多聚甲醛固定,石蜡包埋(大鼠脑);经柠檬酸钠缓冲液(pH6.0)煮沸15min后获得抗原;用3%过氧化氢阻断内源过氧化物酶20分钟;阻断缓冲液(正常山羊血清)37℃30min;用β-微管蛋白多克隆抗体孵育未结合的NAL抗体在1:200下在4°C下过夜,然后根据SP试剂盒(兔子)说明和DAB染色进行操作。

公司优势:
1)质量:我司提供的的试剂为世界。
2)价格:价格实惠,量大从优。
4)服务:提供完整的售前、售后和售中服务。售后到底。

如需订购微管蛋白β tubulin/Tubulin β抗体​​​​​,请联系我们。

Anti-CD144/VECD (Vascularendothelial cell cadherin/VE-cadherin)  上皮型钙粘附分子/血管内皮钙粘蛋白抗体
Anti-CD147/EMMPRIN(Extracellular matrix metalloproteinase inducer)  单核-巨噬细胞基质金属蛋白酶抗体
anti-CD166/ALCAM(activated leukocyte celladhesion molecule)  活化白细胞粘附分子抗体
anti-ED-1  单核/巨噬细胞表面特异性标志抗原抗体
Anti-CD167a/DDR1  CD167a抗体

留言框

  • 产品:

  • 您的单位:

  • 您的姓名:

  • 联系电话:

  • 常用邮箱:

  • 省份:

  • 详细地址:

  • 补充说明:

  • 验证码:

    请输入计算结果(填写阿拉伯数字),如:三加四=7
分享到:
版权所有©2019 上海晅科生物科技有限公司 备案号:京ICP证000000号
  • 扫一扫,关注我们