您的位置: 网站首页 >> 产品中心 >> >> 抗体 > 鼻咽癌相关转录调节蛋白抗体(BRD7)
产品名称:

鼻咽癌相关转录调节蛋白抗体(BRD7)

产品型号: 产品时间: 2023-03-08
鼻咽癌相关转录调节蛋白抗体(BRD7)可能参与了基因转录调控,是一个核转录调节蛋白。经研究发现BRD7可能是通过Ras/MEK/ERK和Rb/E2F两条通路影响细胞周期的进程,使细胞停滞于G0/G1期,BRD7具有阻止细胞周期进程的作用。BRD7蛋白尤其是在鼻咽癌的发病过程中发挥了十分重要作用,BRD7基因的过表达可通过调节MAPK及Wnt信号通路抑制鼻咽癌的生长,并将鼻咽癌阻滞在G1/S期。

产品概述

英文名称:Anti-BRD7​

中文名称:鼻咽癌相关转录调节蛋白抗体(BRD7)

抗体来源:兔子

克隆类型:多克隆

交叉反应:人、小鼠、大鼠、狗、猪、牛、兔、羊​

产品应用:ELISA=1:500-1000 IHC-P=1:100-500 IHC-F=1:100-500 IF=1:100-500(石蜡切片需做抗原修复)

分  子 量:74kDa

​细胞定位:细胞核

状态:冻干或液体

浓度:1mg/ml

来源于:KLH conjugated synthetic peptide derived from human BRD7:401-500/651

亚型:IgG

纯化方法:affinity purified by Protein A

储存液:0.01M TBS(pH7.4) with 1% BSA, 0.03% Proclin300 and 50% Glycerol.

别    名:75 kDa bromodomain protein; BP75; BRD 7; BRD7; BRD7_HUMAN; Bromodomain containing 7; bromodomain containing protein 7; Bromodomain-containing protein 7; CELTIX 1; CELTIX1; NAG4; Protein CELTIX-1.

保存条件:在-20°C下保存一年。避免反复冻融。冻干抗体在室温下至少稳定一个月,并在-20°C下保持一年以上。当在无菌pH7.4 0.01M PBS或抗体稀释剂中重组时,抗体在2-4°C下至少稳定两周。

 

​产品介绍:

该基因编码一种蛋白质,该蛋白质属于含溴域的蛋白质家族。该基因的产物被鉴定为Swi/Snf染色质重塑复合物的一种形式的组成部分,并被鉴定为一种与p53相互作用的蛋白质,是p53依赖性癌基因诱导的阻止肿瘤生长的衰老所必需的。假基因在染色体2、3、6、13和14上有描述。选择性剪接导致多个转录变体。

 

功能:

同时作为协同激活剂和共压器。可能在染色质重塑中起作用。通过负性调节GSK3b磷酸转移酶活性以dvl1依赖性方式激活Wnt信号通路。在“Tyr-216”诱导GSK3b去磷酸化。通过AR下调Trim24介导的转录激活(通过相似性)。下调靶基因表达的转录辅压因子。结合目标启动子,导致组蛋白H3乙酰化在'Lys-9'(H3K9AC)增加。与ESR1启动子结合。招募BRCA1和POU2F1到ESR1启动子。TP53介导的一组靶基因转录激活因子。在癌基因激活的反应中,TP53介导的细胞周期停滞是必需的。促进“Lys-382”处TP53的乙酰化,从而促进目标启动子有效招募TP53。抑制细胞周期从G1期向S期的进展。

 

子单元:

与trim24、ptpn13和dvl1相互作用。在一个含有Smarc4/Brg1、Smarc1/Baf155、Smarc1/Baf57、DPF2/Baf45d和ARID2的复合体中鉴定,这些复合体是Swi/Snf-B(PBAF)染色质重塑复合体的亚基(通过相似性)。与IRF2和hnrpul1相互作用。(通过N端)与TP53相互作用。与EP300相互作用(通过C端)。与BRCA1相互作用。(通过溴域)与在'lys-14'(h3k14ac)乙酰化的组蛋白H3(通过N端)相互作用。对在'lys-9'(h3k9ac)乙酰化的组蛋白H3具有低亲和力。对“Lys-9”(H3K9AC)和“Lys-14”(H3K14AC)乙酰化的组蛋白H3具有亲和力。对非乙酰化组蛋白H3的亲和力很低。(通过溴域)与在'lys-8'(h3k8ac)乙酰化的组蛋白h4(通过N端)相互作用(体外)。

 

重要提示:

本产品仅用于研究用途,不用于人类、治疗或诊断应用

BRD7可能参与了基因转录调控,是一个核转录调节蛋白。经研究发现BRD7可能是通过Ras/MEK/ERK和Rb/E2F两条通路影响细胞周期的进程,使细胞停滞于G0/G1期,BRD7具有阻止细胞周期进程的作用。BRD7蛋白尤其是在鼻咽癌的发病过程中发挥了十分重要作用,BRD7基因的过表达可通过调节MAPK及Wnt信号通路抑制鼻咽癌的生长,并将鼻咽癌阻滞在G1/S期。

​​​​​​​

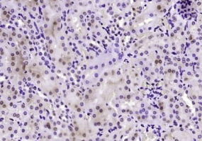
多聚甲醛固定,石蜡包埋(小鼠肾组织);用柠檬酸钠缓冲液(pH6.0)煮沸15min提取抗原;用3%过氧化氢阻断内源过氧化物酶20分钟;阻断缓冲液(正常山羊血清)37℃30min;用BRD7多聚体抗体孵育未结合的克隆抗体在1:200在4°C下过夜,然后根据SP试剂盒(兔子)说明和DAB染色进行操作。

公司优势:
1)质量:我司提供的的试剂为世界。
2)价格:价格实惠,量大从优。
4)服务:提供完整的售前、售后和售中服务。售后到底。

如需订购鼻咽癌相关转录调节蛋白抗体(BRD7)​​​​,请联系我们。

Anti-EphB2 R (Ephrin B2 Receptor)  酪氨酸蛋白激酶受体B2抗体
Anti-ER  雌激素受体
Anti-ERAB  内质网Aβ相关结合蛋白抗体
Anti-ERK2/ERK (MAPK-1/2,MAPK-α ,ERK2,MAPK1,MAPK2, p42MAPK)  丝裂原活化蛋白激酶1/2抗体

留言框

  • 产品:

  • 您的单位:

  • 您的姓名:

  • 联系电话:

  • 常用邮箱:

  • 省份:

  • 详细地址:

  • 补充说明:

  • 验证码:

    请输入计算结果(填写阿拉伯数字),如:三加四=7
分享到:
版权所有©2019 上海晅科生物科技有限公司 备案号:京ICP证000000号
  • 扫一扫,关注我们