您的位置: 网站首页 >> 产品中心 >> >> 抗体 > 胞浆支链氨基酸酸转氨酶抗体(BCAT1)
产品名称:

胞浆支链氨基酸酸转氨酶抗体(BCAT1)

产品型号: 产品时间: 2023-03-08
胞浆支链氨基酸酸转氨酶抗体(BCAT1)该基因编码支链氨基酸转氨酶的胞质形式。这种酶催化支链α-酮酸可逆转氨为细胞生长必需的支链L-氨基酸。两种不同的临床疾病被归因于支链氨基酸转氨酶的缺陷:高盐血症和高亮氨酸异亮氨酸血症。由于也有一个基因编码这种酶的线粒体形式,任何一个基因的突变都可能导致这些疾病。另外,还描述了拼接转录变体。

产品概述

英文名称:Anti-BCAT1​

中文名称:胞浆支链氨基酸酸转氨酶抗体(BCAT1)

抗体来源:兔子

克隆类型:多克隆

交叉反应:人、小鼠、大鼠、鸡、狗、猪、牛、马、羊​

产品应用:WB=1:500-2000 ELISA=1:500-1000 IHC-P=1:100-500 IHC-F=1:100-500 IF=1:100-500(石蜡切片需做抗原修复)

分  子 量:43kDa

​细胞定位:细胞浆

状态:冻干或液体

浓度:1mg/ml

来源于:KLH conjugated synthetic peptide derived from human BCAT1:321-386/386

亚型:IgG

纯化方法:affinity purified by Protein A

储存液:0.01M TBS(pH7.4) with 1% BSA, 0.03% Proclin300 and 50% Glycerol.

别    名:cytosolic; BCAT; BCAT(c); Bcat1; BCAT1_HUMAN; BCT1; Branched chain amino acid aminotransferase, cytosolic; Branched-chain-amino-acid aminotransferase; ECA39; MECA39; PNAS 121; Protein ECA39.

保存条件:在-20°C下保存一年。避免反复冻融。冻干抗体在室温下至少稳定一个月,并在-20°C下保持一年以上。当在无菌pH7.4 0.01M PBS或抗体稀释剂中重组时,抗体在2-4°C下至少稳定两周。

 

​产品介绍:

该基因编码支链氨基酸转氨酶的胞质形式。这种酶催化支链α-酮酸可逆转氨为细胞生长必需的支链L-氨基酸。两种不同的临床疾病被归因于支链氨基酸转氨酶的缺陷:高盐血症和高亮氨酸异亮氨酸血症。由于也有一个基因编码这种酶的线粒体形式,任何一个基因的突变都可能导致这些疾病。另外,还描述了拼接转录变体。[由RefSeq提供,2010年5月]。

 

功能:

催化必需支链氨基酸亮氨酸、异亮氨酸和缬氨酸分解代谢的*反应。

 

子单元:

属于四类磷酸吡哆醛依赖性转氨酶家族。

 

亚细胞位置:

细胞质。

 

组织特异性:

胚胎发生期间,在大脑和肾脏中表达。在myc诱导的肿瘤如伯基特淋巴瘤中过度表达。

 

相似性:

属于四类磷酸吡哆醛依赖性转氨酶家族。

 

重要提示:

本产品仅用于研究用途,不用于人类、治疗或诊断应用

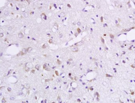
组织/细胞:大鼠脑组织;4%多聚甲醛固定石蜡包埋;

抗原提取:柠檬酸缓冲液(0.01M,pH 6),15min煮沸,用3%过氧化氢阻断内源性过氧化物酶30min;37℃下阻断缓冲液(正常山羊血清)20 min;

孵育:抗BCAT1多克隆抗体,未结合1:200,4℃过夜,然后与二级抗体结合,DAB染色。

公司优势:
1)质量:我司提供的的试剂为世界。
2)价格:价格实惠,量大从优。
4)服务:提供完整的售前、售后和售中服务。售后到底。

如需订购胞浆支链氨基酸酸转氨酶抗体(BCAT1)​​​,请联系我们。

Anti-HHV8/ORF50(Human herpesvirus 8 type P)  人类疱疹病毒8抗体
Anti-HHV8/ORF50(Human herpesvirus 8 type P)  人类疱疹病毒8抗体
Anti-HHV8/ORF50(Human herpesvirus 8 type P)  人类疱疹病毒8抗体
Anti-HHV8/ORF K2(Human herpesvirus 8 type P)  人类疱疹病毒8抗体
Anti-HIF-1α (Hypoxia-inducible factor -1α)  缺氧诱导因子1α 抗体

留言框

  • 产品:

  • 您的单位:

  • 您的姓名:

  • 联系电话:

  • 常用邮箱:

  • 省份:

  • 详细地址:

  • 补充说明:

  • 验证码:

    请输入计算结果(填写阿拉伯数字),如:三加四=7
分享到:
版权所有©2019 上海晅科生物科技有限公司 备案号:京ICP证000000号
  • 扫一扫,关注我们