英文名称:Anti-BASP1
中文名称:脑富含膜附着信号蛋白1抗体(BASP1)
抗体来源:兔子
克隆类型:多克隆
交叉反应:人、小鼠、大鼠、鸡、狗、猪、牛、马、兔
产品应用:WB=1:500-2000 ELISA=1:500-1000 IHC-P=1:100-500 IHC-F=1:100-500 ICC=1:100-500 IF=1:100-500(石蜡切片需做抗原修复)
分 子 量:25kDa
细胞定位:细胞膜
状态:冻干或液体
浓度:1mg/ml
来源于:KLH conjugated synthetic peptide derived from human BASP1/Nap22:3-100/227
亚型:IgG
纯化方法:affinity purified by Protein A
储存液:0.01M TBS(pH7.4) with 1% BSA, 0.03% Proclin300 and 50% Glycerol.
别 名:BASP 1; BASP-1; BASP1 protein; Brain abundant membrane attached signal protein 1; Brain Abundant Signal Protein Membrane Attached 1; Brain Acid Soluble Protein 1; CAP 23; CAP23; MGC8555; NAP 22; NAP-22; NAP22; Neuronal axonal membrane protein NAP 22; Neuronal tissue enriched acidic protein; 22 kDa neuronal tissue enriched acidic protein; BASP1_HUMAN.
保存条件:在-20°C下保存一年。避免反复冻融。冻干抗体在室温下至少稳定一个月,并在-20°C下保持一年以上。当在无菌pH7.4 0.01M PBS或抗体稀释剂中重组时,抗体在2-4°C下至少稳定两周。
产品介绍:
神经元轴突膜蛋白nap-22,又称神经元组织富酸性蛋白或脑酸溶性蛋白(basp1),是一种Ca2+依赖性钙调蛋白结合蛋白,对神经元的萌发和可塑性起重要作用。nap-22在脑神经末梢中含量丰富,在肾脏、睾丸和淋巴组织中也大量存在。NAP-22进行N端肉豆蔻酰化,进行膜定位。它被认为是神经元筏的主要蛋白质,已知其优先结合含有胆固醇的膜。nap-22是一种重要的蛋白质,在神经突生长和突触可塑性中起重要作用。
功能:
basp1是一种富含脑细胞膜结合蛋白,具有几个短暂的磷酸化位点和害虫基序。basp1结合钙调蛋白,被蛋白激酶C磷酸化,并经历N端肉豆蔻酰化。basp1在神经组织中特异性表达。细胞间信号传导和神经生长受神经末梢和其中一个是BASP1的突触表达的许多蛋白质的影响。
亚细胞位置:
细胞膜;脂质锚定。细胞投射,生长锥。注=与形成伸长轴突*的生长锥膜有关。
组织特异性:
脑
相似性:
属于BASP1家族。
重要提示:
本产品仅用于研究用途,不用于人类、治疗或诊断应用
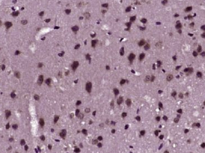
多聚甲醛固定,石蜡包埋(小鼠脑组织);用柠檬酸钠缓冲液(pH6.0)煮沸15min后提取抗原;用3%过氧化氢阻断内源性过氧化物酶20分钟;阻断缓冲液(正常山羊血清)37℃30min;用(BASP1)PYC抗体孵育未结合的克隆抗体在1:400下在4°C下过夜,然后根据SP试剂盒(兔子)说明和DAB染色进行操作。
公司优势:
1)质量:我司提供的的试剂为世界。
2)价格:价格实惠,量大从优。
4)服务:提供完整的售前、售后和售中服务。售后到底。
如需订购脑富含膜附着信号蛋白1抗体(BASP1),请联系我们。
| Anti-HSP-70 (Heat shock protein-70) 热休克蛋白-70抗体 |
| Anti-HSP-90α(Heat Shock Protein 90α ) 热休克蛋白90α抗体 |
| Anti-HSP-90α(Heat Shock Protein 90α ) 热休克蛋白90α抗体 |
| Anti-HSP-90β (heat sock protein-90β) 热休克蛋白-90β 抗体 |
| anti-HtrA2/Omi(mitochondrial intermembrane space) 丝氨酸蛋白酶/线粒体丝氨酸蛋白酶抗体 |